Surgical Orthodontics

If you've been told you may need jaw surgery as part of your orthodontic treatment, it's natural to feel uncertain — or more than a little anxious. Surgical orthodontics involves a significant commitment, and the decision deserves careful thought, honest information, and no pressure. That's exactly what we aim to provide.

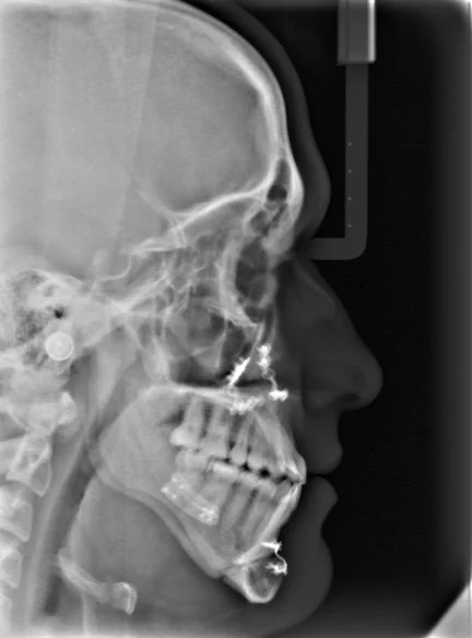
Lateral X-ray of a human skull showing teeth and jaw structure.
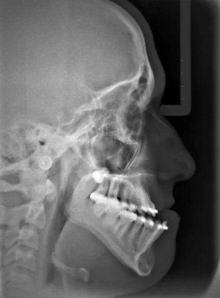
Lateral X-ray of a person's skull showing facial bones, jaw, and teeth.

Understanding the Problem

Most orthodontic concerns involve the teeth — their position, their alignment, the way they meet. These can almost always be addressed with braces or aligners alone. But some patients have a more fundamental issue: the jaws themselves don't fit together properly. In clinical terms, this is called a skeletal malocclusion — a bad bite caused not by tooth position alone, but by the size or position of the bones themselves.

When the underlying problem is skeletal, orthodontics alone has real limits. Straightening the teeth on jaws that don't fit together can improve appearance and alignment, and in some cases moving toward a better bite is possible — sometimes with the help of tooth extractions. But achieving a truly corrected bite when the skeletal relationship is significantly off requires moving the jaws themselves. That's where surgical orthodontics comes in.

How It Works — A Team Approach

Surgical orthodontics is a carefully coordinated process between an orthodontist and an oral surgeon, and the sequence matters enormously.

The orthodontist's role comes first. Before any surgery takes place, metal or clear braces to align the teeth and position each arch — upper and lower — so that the teeth are properly situated over their respective jaw. This is counterintuitive to many patients, because the bite may actually look worse before surgery than it did at the start. That's by design. We are setting up each jaw independently so that when the surgeon moves them into their correct relationship, the teeth will meet properly.

The surgeon's role is to then reposition the jaws with precision — moving them into the relationship that orthodontics alone cannot achieve. This is highly planned, carefully timed, and coordinated closely between our office and the surgical team at every step.

After surgery, orthodontic treatment continues to refine and finish the result. For most patients, the goal is to have braces off within four to six months of surgery — a timeline that feels manageable once the hardest part is behind them.

It is Your Decision

It's important to be clear about something: a severe skeletal malocclusion is a condition, not a disease. It is not something that will shorten your life or significantly increase your health risks by going uncorrected. The decision to pursue surgical correction is yours — and it should be made freely, based on what matters to you.

For patients who choose not to pursue surgery, orthodontic treatment can still achieve meaningful results. Teeth can be straightened, and in some cases the bite can be partially improved, though extractions may be part of that plan and the outcome will have limitations that surgery would have resolved. We will be honest with you about what orthodontics alone can and cannot accomplish for your specific situation.

When a non-surgical path involves irreversible steps — tooth extractions being the most significant — Dr. Kuhlberg prefers to err on the side of caution. Burning a bridge that didn't need to be burned serves no one. Wherever possible, we look for approaches that improve the situation without closing off future options. If circumstances change — if a patient later decides they want to pursue surgical correction — we want that door to remain open.

We will support whatever decision you make. But we will never push you toward an irreversible one before you're ready.

What to Expect

Your consultation with Kuhlberg Orthodontics is the beginning of a conversation, not a commitment. We will review your records, explain our findings clearly, and walk you through what a surgical path would involve — and what a non-surgical path could offer. You will have the opportunity to ask every question you have, take time to think, and involve your family in the decision.

If you decide to move forward, we will coordinate closely with the surgical team at every stage — making sure each phase of treatment supports the next and that you always know where you are in the process and what comes next.

Complex doesn't mean overwhelming. It means we plan more carefully — and we do this together.